Let Us Call You Form

Fill in the form to get detailed information and make an appointment, we will contact you.

About Us

Your Trusted Dental Partner in Turkey

Dentaverse Turkey is a modern dental clinic based in İzmir, providing high-quality dental care for both local and international patients. Our experienced team combines advanced technology with personalized treatment planning to deliver safe, comfortable, and long-lasting results.

From aesthetic dentistry to advanced implant treatments, we focus on creating healthy and confident smiles through transparent communication and patient-centered care.

  • Experienced Dental Specialists
  • Patient-Centered & Gentle Care

DENTAVERSE TURKEY

Treatments

Our Doctors

Trusted professionals creating smiles with expert care

Our dental specialists work together with precision, experience, and a shared commitment to patient safety and comfort.

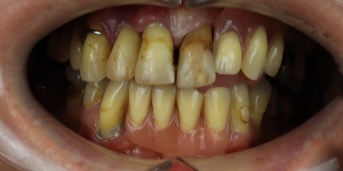
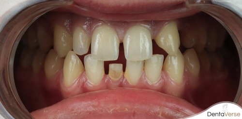
Jana’s Smile Makeover in Turkey

What if a new smile could change the way you feel about yourself? ✨

Our patient Jana traveled from Germany to Izmir, Turkey to transform her smile with a personalized smile design and zirconium crown treatment.

During her journey, our dental team carefully planned every detail of her new smile to achieve a natural, harmonious, and confident look. With modern technology and high-quality zirconium crowns, Jana’s smile was completely renewed.

In this video, you’ll see the result of her smile makeover and how her experience in our clinic helped her regain confidence.

  • Personalized Smile Design
  • Natural-looking Zirconium Crowns
  • Advanced Digital Dentistry
  • International Patient Support

Every smile tells a story — and Jana’s journey from Germany to Turkey is one of confidence, care, and transformation.

Let Us Call You Form

Fill in the form to get detailed information and make an appointment, we will contact you.

FAQ

FREQUENTLY ASKED QUESTIONS

SEE ALL

Yes. Dental treatments in Turkey are performed by licensed dentists in modern clinics that follow international hygiene and safety standards.

Lower operational costs and local pricing structures allow high-quality dental care to be offered at more affordable prices.

Treatment duration depends on the procedure. Some treatments can be completed within a few days, while others may require multiple visits.

Most treatments are planned to minimize travel. In many cases, a single visit is sufficient.

Online treatment plans are preliminary and may change after an in-person dental examination.

Blog

Health Guide